Mechanism underlying human airway epithelial cell inflammation triggered by dust mite allergen Der f 1

CHINESE JOURNAL OF PARASITOLOGY AND PARASITIC DISEASES ›› 2025, Vol. 43 ›› Issue (6): 827-834.doi: 10.12140/j.issn.1000-7423.2025.06.012

• ORIGINAL ARTICLES • Previous Articles     Next Articles

Mechanism underlying human airway epithelial cell inflammation triggered by dust mite allergen Der f 1

JIANG Shangde1()(), ZANG Xiao1, MEI Wei1, MA Lianzheng2, RAO Lina1, HONG Shanchao3,*()(), WANG Wei1,4,*()()   

  1. 1 School of Public Health, Nanjing Medical University, Nanjing 211166, Jiangsu, China
    2 Wuxi School of Medicine, Jiangnan University, Wuxi 214122, Jiangsu, China
    3 Department of Laboratory Medicine, Jiangnan University Medical Center, Wuxi 214062, Jiangsu, China
    4 National Health Committee Key Laboratory of Parasitic Diseases Prevention and Control, Jiangsu Provincial Key Laboratory on Parasites and Vector Control Technology, Jiangsu Institute of Parasitic Diseases, Wuxi 214064, Jiangsu, China
  • Received:2025-08-09 Revised:2025-09-04 Online:2025-12-30 Published:2025-12-25
  • Contact: *E-mail:wangwei@jipd.com;hongshanchao1@163.com
  • Supported by:
    Wuxi City“Double Hundred”Middle-aged and Young Medical and Health Reserve Talents Project of Jiangsu Province(HB2023024);Major Scientific Research Project of Wuxi Municipal Health Commission(Z202520)

Abstract:

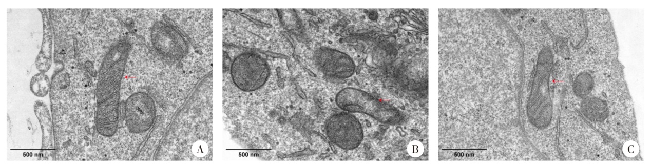
Objective To decipher the mechanisms underlying human airway epithelial cell inflammation induced by the major allergen Der f 1 of dust mite. Methdos BEAS-2B cells were seeded onto 96-well plates at a density of 5 × 103 cells per well and divided into three groups, including the Der f 1 group, Der f 1 + ferrostatin-1 (Fer-1) group, and negative control group. Cells in the Der f 1 group were treated with 40 μl of Der f 1 (100 μg/ml), and cells in the Der f 1 + Fer-1 group was pretreated with 4 μl Fer-1 (1 000 μmol/ml) 2 hours prior to Der f 1 treatment, while cells in the negative control group were given an equivalent volume of nuclease-free water. After 24 hours of incubation, cell viability was assessed in the Der f 1 group, Der f 1 + Fer-1 group and negative control group using the CCK-8 assay, and concentrations of interleukin-6 (IL-6), thymic stromal lymphopoietin (TSLP), and IL-33 were measured in the cell culture supernatants with enzyme-linked immunosorbent assay (ELISA). For Western blotting assay, BEAS-2B cells were seeded onto 6-well plates at a density of 5 × 105 cells per well, and assigned into three groups, including the Der f 1 group, Der f 1 + Fer-1 group, and negative control group. Total protein was extracted from BEAS-2B cells, separated by sodium dodecyl sulfate-polyacrylamide gel electrophoresis (SDS-PAGE), and probed with primary antibodies against glutathione peroxidase 4 (GPX4, 1︰2 000 dilution) and acyl-CoA synthetase long-chain family member 4 (ACSL4, 1︰2 000 dilution), followed by incubation into horseradish peroxidase (HRP)-conjugated goat anti-rabbit IgG secondary antibody (1︰10 000 dilution). The GPX4 and ACSL4 protein expression was determined in cells using Western blotting assay. To assess ferroptosis-related indicators, BEAS-2B cells were seeded onto 24-well plates at a density of 5 × 104 cells per well and assigned into three groups, including the Der f 1 group, Der f 1 + Fer-1 group, and negative control group. Intracellular fluorescence intensity of Fe²⁺ and reactive oxygen species (ROS) were measured under a fluorescence microscope, and the ratio of red to green fluorescence intensity was estimated following lipid peroxidation (LPO) staining. For colorimetric assay, BEAS-2B cells were seeded onto 6-well plates at a density of 5 × 105 cells per well and assigned into three groups, including the Der f 1 group, Der f 1 + Fer-1 group, and negative control group, and malondialdehyde (MDA) content was measured using a colorimetric assay. In addition, BEAS-2B cells were seeded onto 6-well plates at a density of 5 × 10⁶ cells per well and assigned into three groups, including the Der f 1 group, Der f 1 + Fer-1 group, and negative control group, and mitochondrial morphology was examined under a transmission electron microscope. All statistical analyses were performed using the software GraphPad Prism 8.0.1, and differences of means among three groups were tested for statistical significance with one-way analysis of variance (ANOVA). Results The cell viability was significantly lower in the Der f 1 group (0.79 ± 0.03) than in the negative control (1.07 ± 0.08) (t = 6.663, P < 0.01), and co-treatment with Fer-1 restored cell viability to 0.94 ± 0.03 (t = 6.694, P < 0.01). ELISA showed that the IL-6 concentration in the supernatant of the Der f 1 group was (117.30 ± 21.32) pg/ml, which was higher than that of the negative control group (50.07 ± 5.82) pg/ml (t = 5.279, P < 0.01). The IL-6 concentration in the supernatant of the Der f 1 + Fer-1 group was (50.31 ± 12.28) pg/ml, which was lower than that of the Der f 1 group (t = 4.721, P < 0.01). The TSLP concentration in the supernatant of the Der f 1 group was (10.00 ± 2.37) pg/ml, which was higher than that of the negative control group (3.81 ± 0.92) pg/ml (t = 4.223, P < 0.05). The TSLP concentration in the supernatant of the Der f 1 + Fer-1 group was (4.41 ± 1.59) pg/ml, which was lower than that of the Der f 1 group (t = 3.399, P < 0.05). The IL-33 concentration in the supernatant of the Der f 1 group was (24.18 ± 2.53) pg/ml, which was higher than that of the negative control group (12.09 ± 2.08) pg/ml (t = 6.39, P < 0.01). The IL-33 concentration in the supernatant of the Der f 1 + Fer-1 group was (15.76 ± 1.39) pg/ml, which was lower than that of the Der f 1 group (t = 5.045, P < 0.01). Western blotting determined lower relative GPX4 protein expression in the Der f 1 group (0.38 ± 0.08) than in the negative control group (1.00 ± 0.00) (t = 13.21, P < 0.01), and higher GPX4 protein expression in the Der f 1 + Fer-1 group (0.72 ± 0.08) than in the Der f 1 group (t = 5.122, P < 0.01). Conversely, ACSL4 protein expression was upregulated in the Der f 1 group (1.74 ± 0.12 vs. 1.00 ± 0.00; t = 10.65, P < 0.01) and reduced by Fer-1 treatment (1.33 ± 0.13, t = 4.094, P < 0.05). Fluorescence microscopy showed increased intracellular fluorescence intensity of Fe²⁺ in the Der f 1 group (37.19 ± 5.42 vs. 11.93 ± 0.54; t = 8.035, P < 0.01), which was significantly lowered by Fer-1 treatment (13.16 ± 1.89, t = 7.253, P < 0.01). The intracellular ROS fluorescence intensity in the Der f 1 group was 13.48 ± 3.36, which was higher than that in the negative control group (6.80 ± 0.60, t = 3.386, P < 0.05). The fluorescence intensity in the Der f 1 + Fer-1 group was 7.35 ± 0.42, which was lower than that in the Der f 1 group (t = 3.134, P < 0.05). The intracellular LPO fluorescence intensity in the Der f 1 group was 3.91 ± 1.65, which was higher than that in the negative control group (0.31 ± 0.13, t = 3.775, P < 0.05). The LPO fluorescence intensity in the Der f 1 + Fer-1 group was 0.80 ± 0.15, which was lower than that in the Der f 1 group (t = 3.262, P < 0.05). The colorimetric assay results showed that the intracellular MDA content in the Der f 1 group was (5.57 ± 1.66) nmol/mg, which was higher than that in the negative control group (2.18 ± 0.51) nmol/mg (t = 3.393, P < 0.05). The MDA content in the Der f 1 + Fer-1 group was (2.24 ± 0.38) nmol/mg, which was lower than that in the Der f 1 group (t = 3.4, P < 0.05). Transmission electron microscopy displayed well mitochondrial status, clear mitochondrial boundary and many mitochondrial cristae in the negative control group, and Der f 1 exposure led to mitochondrial shrinkage, membrane thickening, and reduction or loss of cristae. These structural alterations were markedly attenuated in the Der f 1 + Fer-1 group, including weakening of mitochondrial shrinkage, membrane thickening and reduced numbers of mitochondrial cristae. Conclusion Der f 1 induces ferroptosis in human airway epithelial cells through disrupting iron homeostasis, suppressing antioxidant defense, and promoting lipid peroxidation, thereby potentiating the release of IL-6, TSLP, and IL-33 to exacerbate airway inflammation.

Key words: Dust mite, Dermatophagoides farinae allergen 1, Airway epithelial cell, Ferroptosis, Inflammation

CLC Number: