Sequence characteristics and phylogenetic analysis of the ribosomal whole genome of <i>Echinostoma miyagawai</i>

CHINESE JOURNAL OF PARASITOLOGY AND PARASITIC DISEASES ›› 2025, Vol. 43 ›› Issue (5): 697-704.doi: 10.12140/j.issn.1000-7423.2025.05.015

• ORIGINAL ARTICLES • Previous Articles     Next Articles

Sequence characteristics and phylogenetic analysis of the ribosomal whole genome of Echinostoma miyagawai

CAO Yu1,2()(), LI Ye1, JIANG Botao1,2,*()()   

  1. 1 Branch of Animal Husbandry and Veterinary Branch of Heilongjiang Academy of Agricultural Sciences, Qiqihar 161005, Heilongjiang, China
    2 Heilongjiang Province Key Laboratory of Veterinary Drugs, Qiqihar 161005, Heilongjiang, China
  • Received:2025-04-16 Revised:2025-08-07 Online:2025-10-30 Published:2025-10-10
  • Contact: *E-mail: jbt999@126.com
  • Supported by:
    Scientific Research Business Expense Projects of Provincial Research Institutes in Heilongjiang Province(CZKYF2025-1-B011)

Abstract:

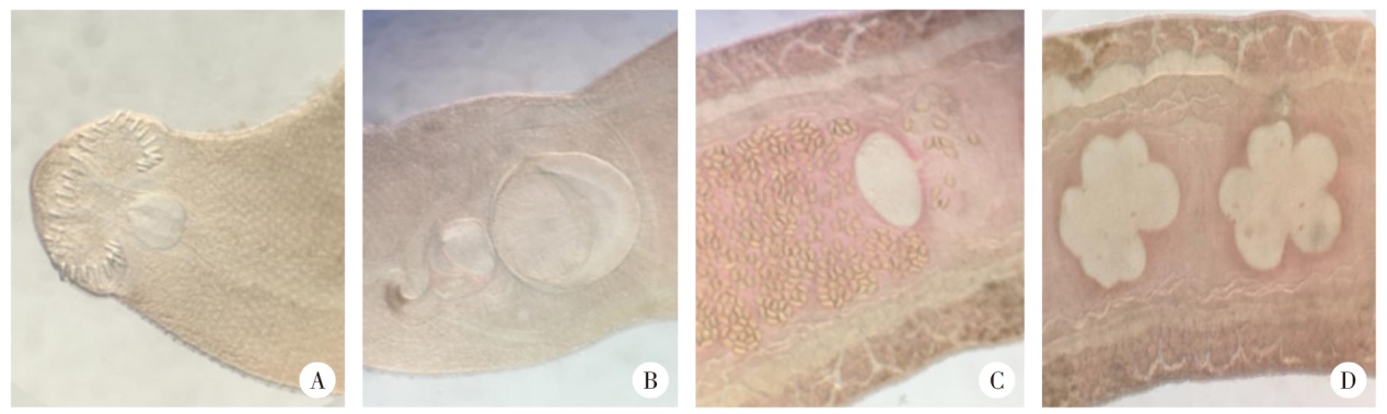
Objective To identify the Echinostoma species from domestic ducks in Qiqihar City and analyze the characteristics and phylogenetic relationships of the Echinostoma ribosomal whole-genome sequences. Methods Echinostoma parasites were collected from the intestines of domestic ducks in Qiqihar City on July 2024, and the morphological characteristics of Echinostoma parasites were observed using the squash method. The DNA of the parasites was extracted and the internal transcribed spacer 2 (ITS2) sequence was amplified by PCR for parasites species identification, the ribosomal whole-genome sequence was amplified and subjected to sequence characteristics analysis. The sequencing results were aligned those recorded in the NCBI database using the BLAST tool to determine gene boundaries, and the presence of repetitive sequences was checked using a gene repeat sequence calculator. The secondary structure of the 18S, 5.8S and 28S was predicted using the RNAstructure software, and sequence similarity analysis was performed using the Megalign software. Sequence alignment was conducted using the MEGA 7.0, Clustal X, Paup, and Mrbayes software, and phylogenetic trees were constructed using the maximum parsimony method with 18S, ITS, and 28S sequences as marker genes. Results Three Echinostoma were isolated, which appeared a long leaf-like shape and had a well-developed head collar that contained 37 collar spines. The ITS sequence had a length of 1 037 bp, and the ITS2 sequence was 431 bp in length, which shared a 99.77% similarity with the ITS2 sequences of E. miyagawai isolated from Thailand (GenBank accession number: PQ821045) and Russia (GenBank accession number: OP696595), confirming the species as E. miyagawai. The ribosomal whole-genome sequence of E. miyagawai was 9 522 bp in length, and the lengths of the 18S, ITS1, 5.8S, ITS2, 28S and intergenic spacer (IGS) sequences were 1 989, 444, 162, 431, 3 858 and 2 638 bp, respectively. The 18S, ITS and 28S sequences were submitted to the GenBank database, with the accession number of PV455727; and the IGS sequence was submitted to the GenBase databases, with the accession number of C_AA117515.1. Repetitive sequences were found in ITS2, 28S, and IGS sequences, with the highest number of repetitive sequences seen in the 28S sequence. The rDNA sequence showed the highest similarity (99.3%) with the ribosomal genome sequence of E. miyagawai (GenBank accession number: OR509027). The secondary structure of 18S rRNA was composed of multiple stem-loop structures, which appeared a clover-like shape, and the secondary structure of 5.8S rRNA was relatively small and compact and formed a stable conformation via internal base pairs, while the secondary structure of 28S rRNA was complicated and appeared a multi-arm structure. Phylogenetic analysis revealed that phylogenetic trees were clustered into two clades, and the sequences in this study clustered on a small branch with those reported for E. miyagawai. Conclusion The Echinostoma species infecting domestic ducks in Qiqihar City is identified as E. miyagawai, and its ribosomal genome ITS2, 28S, and IGS sequences contain repetitive sequences and show close phylogenetic relationships with other E. miyagawai and E. revolutum from previous studies.

Key words: Echinostoma miyagawai, Ribosomal whole genome, Sequence similarity, Phylogenetic analysis, Domestic duck

CLC Number: