Diagnosis and treatment of a case with visceral leishmaniasis complicated by severe pulmonary infection

CHINESE JOURNAL OF PARASITOLOGY AND PARASITIC DISEASES ›› 2025, Vol. 43 ›› Issue (6): 874-877.doi: 10.12140/j.issn.1000-7423.2025.06.020

• CASE REPORT • Previous Articles     Next Articles

Diagnosis and treatment of a case with visceral leishmaniasis complicated by severe pulmonary infection

JIN Xuan1(), LIU Yuanli1, DENG Chunqing2,*()   

  1. 1 The First Clinical Medical College of Shanxi Medical University, Taiyuan 030001, Shanxi, China
    2 Department of Infectious Diseases, The First Hospital of Shanxi Medical University, Taiyuan 030001, Shanxi, China
  • Received:2025-07-22 Revised:2025-10-14 Online:2025-12-30 Published:2025-12-25
  • Contact: *E-mail:06dengchunqing@163.com

Abstract:

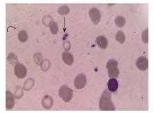
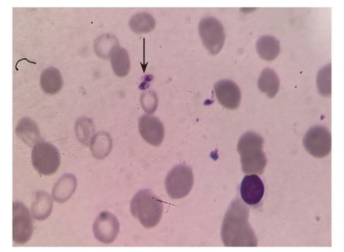
The patient was a 38-year-old female farmer from Xiangning County, Linfen City, Shanxi Province. She was diagnosed with nephrotic syndrome in 2016 and systemic lupus erythematosus in 2021. In October 2024, the patient was admitted to the Department of Rheumatology and Immunology due to recurrent fever. Laboratory tests revealed pancytopenia, inverted albumin-globulin ratio, elevated IgG levels, coagulation abnormalities, positive anticardiolipin antibodies and splenomegaly, and sputum fungal cultures indicated Candida albicans infection. Chest CT scans on October 29 showed scattered inflammation in bilateral lungs with cavity formation in the right lower lobe. On October 31, bone marrow punctures displayed one megakaryocyte and widespread platelet distribution in blood marrow smears, and Leishmania amastigotes (Leishman-Donovan bodies) were observed across whole bone marrow smears, prompting patient’s transfer to the Department of Infectious Diseases. On November 5, serum samples were sent to Shanxi Provincial Center for Disease Control and Prevention, where the rK39 rapid immunochromatographic test yielded a positive result. On November 6, metagenomic next-generation sequencing (mNGS) of bone marrows detected 66 596 Leishmania species DNA sequences, including 1 668 L. infantum sequences with relative abundance of 52.02%. Symptomatic treatments were therefore given, including continuous oxygen therapy, transfusion of leukoreduced red blood cells, anti-infection therapy, fluid replacement, correction of hypoalbuminemia, and hemostasis. On November 4, amphotericin B cholesterol sulfate complex was administered intravenously at 50 mg via an intravenous pump, and the dose was adjusted to 100 mg on November 5 and further escalated to the 150 mg (full dose) on November 6. The patient was discharged after the discomfort symptoms gradually subsided. A follow-up examination on December 9 showed excellent antiprotozoal efficacy, with no Leishmania amastigotes detected and the pulmonary cavities disappeared. Subsequent follow-ups indicated no recurrence in the patient.

Key words: Visceral leishmaniasis, Pulmonary infection, Histoplasmosis, Amphotericin B cholesterol sulfate complex, Systemic lupus erythematosus, Metagenomic next-generation sequencing

CLC Number: