中国寄生虫学与寄生虫病杂志 ›› 2026, Vol. 44 ›› Issue (1): 15-20.doi: 10.12140/j.issn.1000-7423.2026.01.003

• 论著 • 上一篇    下一篇

肝脏E-钙黏蛋白过表达对日本血吸虫感染小鼠肝纤维化的影响

姜婷婷(), 蔚志豪, 崔轩胤, 莫筱瑾, 李显, 胡媛*()()   

  1. 中国疾病预防控制中心寄生虫病预防控制所(国家热带病研究中心)传染病溯源预警与智能决策全国重点实验室,国家卫生健康委员会寄生虫病原与媒介生物学重点实验室,世界卫生组织热带病合作中心,科技部国家级热带病国际联合研究中心上海 200025
  • 收稿日期:2025-10-22 修回日期:2025-12-06 出版日期:2026-02-28 发布日期:2026-02-12
  • 通讯作者: 胡媛(ORCID: 0000-0002-5439-8822),女,博士,研究员,从事寄生虫感染与免疫研究。E-mail:huyuan@nipd.chinacdc.cn
  • 作者简介:姜婷婷,女,博士研究生,从事寄生虫感染与免疫研究。E-mail:jiangtingt16@163.com
  • 基金资助:
    上海市自然科学基金(23ZR1469500)

Impact of hepatic E-cadherin overexpression on liver fibrosis in mice infected with Schistosoma japonicum

JIANG Tingting(), YU Zhihao, CUI Xuanyin, MO Xiaojin, LI Xian, HU Yuan*()()   

  1. National Institute of Parasitic Diseases, Chinese Center for Disease Control and Prevention; Chinese Center for Tropical Diseases Research; National Key Laboratory of Intelligent Tracking and Forecasting for Infectious Diseases; NHC Key Laboratory on Parasite and Vector Biology; WHO Collaborating Centre for Tropical Diseases; National Center for International Research on Tropical Diseases, Ministry of Science and Technology, Shanghai 200025, China
  • Received:2025-10-22 Revised:2025-12-06 Online:2026-02-28 Published:2026-02-12
  • Contact: E-mail: huyuan@nipd.chinacdc.cn
  • Supported by:
    Natural Science Foundation of Shanghai(23ZR1469500)

摘要:

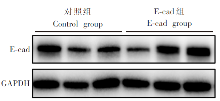
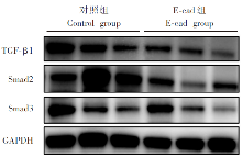
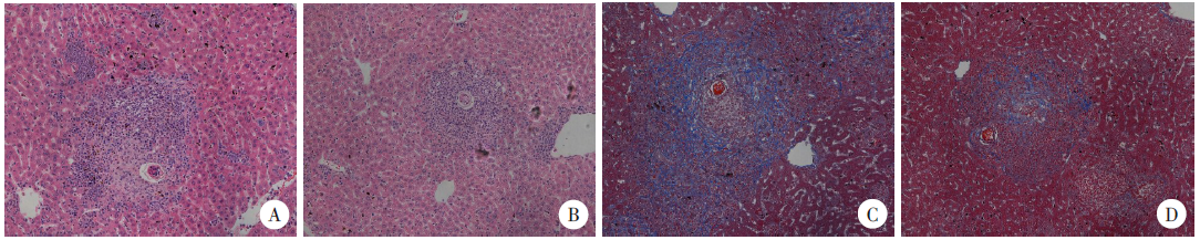
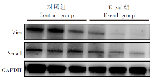
目的 探究E-钙黏蛋白(E-cad)过表达对血吸虫感染引起的肝组织上皮间质转化(EMT)和纤维化的影响。 方法 16只小鼠随机分为E-cad组和对照组,分别经尾静脉注射2 × 1011 vg的腺相关病毒8包装的E-cad质粒和空质粒。注射后3周,经腹部贴片法感染日本血吸虫尾蚴[(20 ± 1)条/只],感染后6周取肝组织。提取肝组织RNA,qPCR检测目的基因的相对转录水平。提取肝组织蛋白,蛋白质免疫印迹(Western blotting)检测目的蛋白的相对表达水平。肝组织石蜡切片行苏木精-伊红(HE)染色和Masson染色,计算单个虫卵肉芽肿面积和胶原纤维面积。使用GraphPad Prism 9软件进行统计学分析,两组比较采用t检验。 结果 对照组和E-cad组小鼠肝组织中E-cad的mRNA相对转录水平分别为1.15 ± 0.07、7.19 ± 2.43,E-cad的蛋白相对表达水平分别为1.03 ± 0.16、1.42 ± 0.22,E-cad组均高于对照组(t = 4.30、3.62,P < 0.05、0.01),肝脏过表达E-cad小鼠模型构建成功。qPCR结果显示,E-cad组小鼠肝组织中波形蛋白(Vim)、α-平滑肌肌动蛋白(α-SMA)、Ⅰ型胶原蛋白(Col-1)和Ⅲ型胶原蛋白(Col-3)的mRNA相对转录水平分别为0.60 ± 0.17、0.62 ± 0.19、0.31 ± 0.17、0.30 ± 0.13,均低于对照组的1.37 ± 0.33、1.43 ± 0.35、1.78 ± 0.84、1.78 ± 0.45(t = 3.60、3.48、3.74、5.52,P < 0.05、0.05、0.05、0.01)。Western blotting结果显示,E-cad组小鼠肝组织中Vim、N-钙黏蛋白(N-cad)、α-SMA、Col-1、Col-3、转化生长因子β1(TGF-β1)、Samd2和Smad3的蛋白相对表达水平分别为0.22 ± 0.13、0.37 ± 0.14、0.29 ± 0.19、0.23 ± 0.06、0.17 ± 0.02、0.32 ± 0.13、0.57 ± 0.14和0.54 ± 0.10,均低于对照组的0.71 ± 0.13、0.65 ± 0.08、0.81 ± 0.13、0.43 ± 0.08、0.50 ± 0.16、0.68 ± 0.07、0.87 ± 0.04、0.82 ± 0.06(t = 4.39、2.75、3.91、3.99、3.47、3.92、2.95、4.61,P < 0.01、0.05、0.01、0.01、0.05、0.01、0.05、0.05)。HE染色显示,对照组和E-cad组小鼠的肝组织单卵肉芽肿面积分别为[(34.10 ± 6.94) ×104]和[(12.76 ± 3.16) × 104]μm2;Masson染色显示,对照组和E-cad组小鼠的肝组织单卵肉芽肿胶原纤维面积分别为[(8.50 ± 2.36) × 104]和[(3.65 ± 0.90) × 104]μm2。E-cad组的单卵肉芽肿面积和胶原纤维面积均小于对照组(t = 7.41、5.01,均P < 0.01)。 结论 小鼠肝脏过表达E-cad能够减轻日本血吸虫感染引起的肝脏EMT和纤维化水平,这一过程可能通过抑制TGF-β1/Smad信号通路而实现。

关键词: 日本血吸虫, E-钙黏蛋白, 上皮间质转化, 肝纤维化, TGF-β1/Smad信号通路

Abstract:

Objective To investigate the impact of E-cadherin (E-cad) overexpression on hepatic epithelial-mesenchymal transition (EMT) and liver fibrosis induced by Schistosoma japonicum infection. Methods A total of 16 mice were randomly divided into the E-cad group and the control group, and were injected with 2 × 1011 vector genomes of E-cad plasmid or empty plasmid packaged with adeno-associated virus 8 via the tail vein. All mice were infected with S. japonicum cercariae [(20 ± 1) per mouse] via the abdomen 3 weeks post-injection, and liver tissues were collected 6 weeks post-infection. Total RNA was extracted from liver tissues, and the relative transcription levels of target genes were detected with a real-time quantitative PCR (qPCR) assay. Total protein was extracted from liver tissues, and the relative expression of target proteins was detected using Western blotting. Paraffin-embedded liver sections were stained with hematoxylin and eosin (HE) and Masson’s trichrome stains to assess the area of single-egg granulomas and collagen fibers. All statistical analyses were performed using the software GraphPad Prism 9, and differences of means between groups were assessed using t-test. Results The relative mRNA transcription levels of E-cad were 1.15 ± 0.07 and 7.19 ± 2.43 in mouse liver tissues in the control and E-cad group (t = 4.30, P < 0.05), and the relative protein expression of E-cad were 1.03 ± 0.16 and 1.42 ± 0.22 in the control and E-cad group (t = 3.62, P < 0.01), indicating successful modeling of hepatic E-cad overexpression in mice. qPCR assay quantified lower relative mRNA transcription of vimentin (Vim) [(0.60 ± 0.17) vs. (1.37 ± 0.33); t = 3.60, P < 0.05], α-smooth muscle actin (α-SMA) [(0.62 ± 0.19) vs. (1.43 ± 0.35); t = 3.48, P < 0.05], collagenⅠ (Col-1) [(0.31 ± 0.17) vs. (1.78 ± 0.84); t = 3.74, P < 0.05] and collagenⅢ (Col-3) [(0.30 ± 0.13) vs. (1.78 ± 0.45); t = 5.52, P < 0.01] in mouse liver tissues in the E-cad group than in the control group, and Western blotting determined lower relative expression of Vim [(0.22 ± 0.13) vs. (0.71 ± 0.13); t = 4.39, P < 0.01], N-cadherin (N-cad) [(0.37 ± 0.14) vs. (0.65 ± 0.08); t = 2.75, P < 0.05], α-SMA [(0.29 ± 0.19) vs. (0.81 ± 0.13); t = 3.91, P < 0.01], Col-1 [(0.23 ± 0.06) vs. (0.43 ± 0.08); t = 3.99, P < 0.01], Col-3 [(0.17 ± 0.02) vs. (0.50 ± 0.16); t = 3.47, P < 0.05], transforming growth factor-β1 (TGF-β1) [(0.32 ± 0.13) vs. (0.68 ± 0.07); t = 3.92, P < 0.01], Smad2 [(0.57 ± 0.14) vs. (0.87 ± 0.04); t = 2.95, P < 0.05] and Smad3 [(0.54 ± 0.10) vs. (0.82 ± 0.06); t = 4.61, P < 0.05] in mouse liver tissues in the E-cad group than in the control group. HE staining showed that the area of single-egg liver granulomas were [(34.10 ± 6.94) × 104] and [(12.76 ± 3.16) × 104] μm2 in the control and E-cad groups (t = 7.41, P < 0.01), and Masson staining showed that the areas of collagen fibers with single-egg liver granulomas were [(8.50 ± 2.36) × 104] and [(3.65 ± 0.90) × 104] μm2 in the control and E-cad groups (t = 5.01, P < 0.01), respectively. Conclusion Hepatic E-cad overexpression alleviates EMT and liver fibrosis induced by S. japonicum infection in mice, potentially through inhibition of the TGF-β1/Smad signaling pathway.

Key words: Schistosoma japonicum, E-cadherin, Epithelial-mesenchymal transition, Liver fibrosis, TGF-β1/Smad signaling pathway

中图分类号: